Do you feel ur smile is dull or yellow? Teeth can become discolored from age, tobacco, medication, food/ drinks. Contact us today we would love to help whiten ur smile.
Our state-of-the-art in office power bleaching system will make your teeth white in less than 1 hour. Another option is our home bleaching system which you take home with you for results in two weeks . You can also consider a combination programe of both systems for otimal,long term results. Bleaching is the simplest way to brighten your smile. Your teeth can become 5-6 shades lighter. Depending on your life styles , you may needs to bleach periodically.
In addition to performing diligent oral care at home, you should see your dentist every six months for an oral exam to ensure continued health of your teeth and gums. If you skip just one routine checkup with your dentist, any new oral health issues can rapidly advance and require expensive and invasive treatments. Regular checkups ensure that problems can be caught early and treated conservatively, and some oral health issues can even be reversed if spotted in the earliest stages. If allowed to advance, however, these problems with your teeth or gums can actually spread beyond your mouth and affect your general health.
The state of your mouth can indicate problems in other areas of your body, so visiting your dentist every six months can help you maintain your overall well-being. A cavity, for instance, can advance to the center of the tooth and cause a localized infection. If not treated with root canal therapy, the bacteria can enter the bloodstream and cause a serious systemic infection. Likewise, studies have proven a link between gum disease and health conditions such as diabetes, dementia and cardiovascular disease, so it pays to undergo routine checkups to spot gum disease in the early stages when it is reversible so that you can reduce your risk of other health problems.
At your first office visit for a comprehensive oral exam, your dentist will review your medical history with you. Knowing if you’ve been diagnosed with certain medical conditions can help your dentist determine if you’re susceptible to oral health problems or may experience a reaction to a particular dental treatment or anesthetic. The medications you take can also make you more vulnerable to developing cavities or periodontal disease. At each six-month checkup, be sure to let your dentist know if you have been diagnosed with a new health condition or changed your medication regimen to ensure that you continue to receive dental care tailored to your unique needs. Also, do not be afraid to tell your dentist if you have experienced anxiety over dental visits in the past so that he or she can present you with different options for making you comfortable during exams and treatments.

If you have not undergone dental X-rays for some time, your dentist will obtain images of your teeth and jaws at your first appointment. The frequency with which you receive X-rays after that depends upon your dental history and risk of developing tooth decay. Dental X-rays can help detect cavities, tooth eruption issues or bone loss in the jaws.

A visual inspection can help your dentist spot most oral health problems, including the following:


Affecting the lips, throat, head, neck and soft tissues inside the mouth, oral cancer has a high cure rate if caught early. Your dentist will visually inspect these areas for unusual sores, lumps or rough patches and palpate them to determine if swelling or tenderness is present.

A professional teeth cleaning is recommended every six months, so you may want to combine your checkup and cleaning appointments for the sake of convenience. Your hygienist will begin your cleaning by removing tartar buildup with an instrument called a scaler to help prevent gum disease. After scaling, your hygienist will polish your teeth with a paste that contains mild abrasives to remove plaque and surface stains, leaving your teeth smooth and less likely to collect oral bacteria. If indicated, you may also receive a fluoride treatment that helps remineralize your tooth enamel and reduce your risk of developing cavities.n your next visit! You’ll receive regular news and offers via email.

Oral cancer can form in any part of the mouth or throat. You are at a high risk of oral cancer if you are a male aged 40 years and above, with heavy tobacco and alcohol consumption, and/or a history of cancer in the head or neck.
Right from an earache to bleeding in the mouth to lose teeth, symptoms of oral cancer are many.
Cancer is defined as the uncontrollable growth of cells that invade and cause damage to surrounding tissue. Oral cancer appears as a growth or sore in the mouth that does not go away. Oral cancer, which includes cancers of the lips, tongue, cheeks, floor of the mouth, hard and soft palate, sinuses, and pharynx (throat), can be life threatening if not diagnosed and treated early.
The most common symptoms of oral cancer include:

According to the American Cancer Society, men face twice the risk of developing oral cancer as women, and men who are over age 50 face the greatest risk. It's estimated that over 40,000 people in the U.S. received a diagnosis of oral cancer in 2014.
Risk factors for the development of oral cancer include:
It is important to note that over 25% of all oral cancers occur in people who do not smoke and who only drink alcohol occasionally.
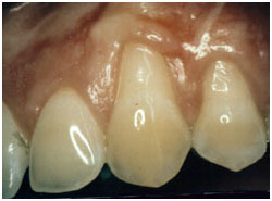
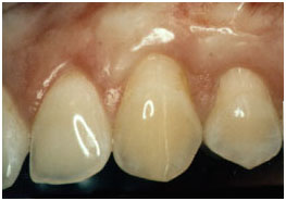
A gum graft can reduce further recession and bone loss. In some cases, it can cover exposed roots to protect them from decay. This may reduce tooth sensitivity and improve esthetics of your smile. Whether you have a gum graft to improve function or esthetics, patients often receive the benefits of both: a beautiful new smile and improved periodontal health – your keys to smiling, eating and speaking with comfort and confidence.
Your dentist may perform an oral brush biopsy if he or she sees tissue in your mouth that looks suspicious. This test is painless and involves taking a small sample of the tissue and analyzing it for abnormal cells. Alternatively, if the tissue looks more suspicious, your dentist may recommend a scalpel biopsy. This procedure usually requires local anesthesia and may be performed by your dentist or a specialist. These tests are necessary to detect oral cancer early, before it has had a chance to progress and spread.
Oral cancer is treated the same way many other cancers are treated -- with surgery to remove the cancerous growth, followed by radiation therapy and/or chemotherapy (drug treatments) to destroy any remaining cancer cells.
To prevent oral cancer:

You can take an active role in detecting oral cancer early, should it occur, by doing the following:
AAP treatment guidelines stress that periodontal health should be achieved in the least invasive and most cost-effective manner. This is often accomplished through non-surgical periodontal treatment.
Non-surgical periodontal treatment does have its limitations. When it does not achieve periodontal health, surgery may be indicated to restore periodontal health.
Scaling and root planing is a careful cleaning of the root surfaces to remove plaque and calculus [tartar] from deep periodontal pockets and to smooth the tooth root to remove bacterial toxins. Scaling and root planing is often followed by adjunctive therapy such as local delivery antimicrobials and host modulation, as needed on a case-by-case basis.
A tray delivery system consists of a custom-fit tray made from impressions of the patient’s mouth. Patients use the tray at home to deliver medications that have been prescribed by their dentist.
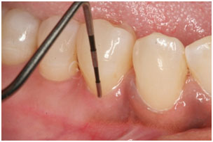
Exposed tooth roots are the result of gum recession. Gum graft surgery will repair the defect and help to prevent additional recession and bone loss.


Gum grafts can be used to cover roots or develop gum tissue where absent due to excessive gingival recession. During gum graft surgery, your periodontist takes gum tissue from your palate or another donor source to cover the exposed root. This can be done for one tooth or several teeth to even your gum line and reduce sensitivity.
A gum graft can reduce further recession and bone loss. In some cases, it can cover exposed roots to protect them from decay. This may reduce tooth sensitivity and improve esthetics of your smile. Whether you have a gum graft to improve function or esthetics, patients often receive the benefits of both: a beautiful new smile and improved periodontal health – your keys to smiling, eating and speaking with comfort and confidence.
Your bone and gum tissue should fit snugly around your teeth like a turtleneck around your neck. When you have periodontal disease, this supporting tissue and bone is destroyed, forming "pockets" around the teeth.
Over time, these pockets become deeper, providing a larger space for bacteria to live. As bacteria develop around the teeth, they can accumulate and advance under the gum tissue. These deep pockets collect even more bacteria, resulting in further bone and tissue loss. Eventually, if too much bone is lost, the teeth will need to be extracted.
Periodontists are often considered the plastic surgeons of dentistry. If you are looking to improve your smile, a periodontist may be able to help.
Do you feel your teeth look too short and your smile is too gummy or your gums cover too much of some teeth while leaving the others the right length? If so, dental crown lengthening might be the solution for you. During this procedure, excess gum tissue is removed to expose more of the crown of the tooth. Then your gumline is sculpted to give your new smile just the right look.
Sometimes gum recession causes the tooth root to become exposed, which makes your teeth look long and can make you look older than you are. This recession can happen as a result of a variety of causes, including periodontal diseases.
Gum graft surgery and other root coverage procedures are designed to cover exposed roots, to reduce further gum recession and to protect vulnerable roots from decay.
Tooth loss can cause an indentation in the gums and jawbone where the tooth used to be. This happens because the jawbone recedes when it no longer is holding a tooth in place. Not only is this indention unnatural looking, it also causes the replacement tooth to look too long compared to the adjacent teeth.
Ridge augmentation can fill in this defect recapturing the natural contour of the gums and jaw. A new tooth can then be created that is natural looking, easy to clean and beautiful.
Pedodontics or Pediatric Dentistry refers to a branch of dentistry that specializes in dental care for children under the age of 16. Pediatric dentists require an extra two to three years of dental training that prepare them in meeting the unique dental needs of infant children and adolescent dental care. This also includes those with special health care needs.
Pedodontics not only aids in the dental health of children but serves as an educational tool for parents. It is recommended by the American Academy of Pediatric Dentistry (AAPD) that a dental visit should occur between shortly after the presence of the first tooth in a child to that child’s first birthday. This is because early mouth examinations aids in the detection of the early stages of tooth decay and can therefore be immediately treated.
Some dental problems begin very early in life. One concern is baby bottle tooth decay, a serious condition caused by a child staying on the bottle (or breast) too long. Another problem is gum disease. About 40% of children 2-3 years old have at least mild inflammation of gum tissues. Oral habits (such as thumb-sucking) should also be checked. The earlier the dental visit, the better the chances of preventing problems. Strong, healthy teeth help your child chew food easily, speak clearly and feel good about his or her appearance.
Primary teeth are important because they help with proper chewing and eating, help in speech development and add to an attractive appearance. A child who can chew easily, speak clearly and smile confidently is a happier child. Healthy primary teeth allow normal development of the jaw bones and muscles, save space for the permanent teeth and guide them into place. If a baby tooth is lost too soon, permanent teeth may come in crooked. Decayed baby teeth can cause pain, abscesses, infections, and can spread to the permanent teeth. Also, your child's general health can be affected if diseased baby teeth aren't treated. Remember, some primary molars are not replaced until age 10-14, so they must last for years.
We are asked this question many times. We suggest you prepare your child the same way that you would before their first hair-cut or trip to the shoe store. This will not be the frightening experience you may remember from your youth. If you are nervous about the trip, then the less you say the better.

The most beautiful moments of life require a person to be at their immaculate best with perfectly flawless appearance. Marriage is one special day in the life of a bride that becomes a lasting memory forever and gets remembered time and again for its overwhelming importance.
While a bride and their family would spend fortunes on making that the occasion special, from spending money on make-ups and outfits, one must not forget the importance of a shining smile in adding magnetism to the personality. Special bridal package concerning dental health is designed to provide that extra confidence to the person so that they can look at their very best on the marriage day.
The dental bridal package is intended to provide teeth whitening solution, filling up cavities and helping erase structural issues that make your smile less than perfect. The package also helps in avoiding gum bleeding and breath odor problems that can stop you from stepping closer to your loved ones. You can get appointments at short notice and get a complete examination within the shortest period of time without hurting your busy schedule. The dentists will provide you complete dental check-up under one roof so that you can get diagnose and treatment quickly. The clinic will provide luxurious hospitality as well as will maintain perfect hygiene standard in the whole process.
A complete evaluation by the best dentist will provide you an edge at the marriage where you are supposed to be lavished with attention and will be under constant glare of friends, family and relatives. So put your best step forward with the special bridal package and make sure to win everyone’s heart with a thousand watt smile at every click and flash at the party. You will be happy that you took the decision of going to your dentist as the meeting will help you enhance your beauty and youth with a simple dental evaluation.
The dental support will last even after the marriage when you are enjoying your special moments of togetherness with the love of your life. It will provide you the confidence that no piece of jewelry or outfit can ever match. So meet a dentist today and ensure that you look stunning and special wherever you go with a sparkling smile. The special bridal package is a value for money investment which will add lush and glamour to your overall facial appearance and make it radiant.
One tradition that has become universal in many cultures is photographing the event for the express purpose of recording forever the magic of a wedding day. Whether bride or groom, you'll want to look your best and in the midst of all the preparations and the stress involved, you'll want to consider planning to look your best as far ahead of time as possible.
Anything related to appearance and health, whether oral or general, might just require more time and planning than you think. Whether it be shedding a few extra pounds, quitting smoking or other life style changes, try to see them in the broader context of a long term health strategy. Make sure the changes you want to undergo to enhance yourself for the day, go into making your marriage a more healthy and fruitful long term venture in which you as a couple invest in yourselves and in each other. Envision how you see yourself and take the steps necessary to achieve realistic objectives.
Your general dentist is a good place to start to consider the best overall approach to smile enhancement and healthy teeth. You can call specialists in your area and ask who they would experiences. If you have a dentist, he can inform you of the variety of treatments, therapies and procedures to enhance your smile. Very often form follows function “if something looks right it probably is right, so if you're going to change one or more elements of your smile it needs to be planned. Part of planning is figuring out what needs to be changed, and part of that is assessing or diagnosing how you are now,” the starting point for change. Another thing to remember is that the bigger the change you want to make the longer it's likely to take.
Let's look at some of the most innovative and effective techniques available to make your wedding day pictures eternally memorable and the timing considerations involved.
You can't get more basic than this! Get your teeth professionally cleaned for removal of unwanted stains and to freshen your breath so that all is spic and span for your wedding day spotlight pictures. Keep it that way with daily effective bacterial plaque control. Make sure you schedule an appointment with your dentist or dental hygienist well ahead of time so you're guaranteed an appointment for a dental cleaning.
Whiter, brighter, lighter..... If you like everything about your teeth except the color, whitening by bleaching may be the solution for you. A professional “in-office” dental procedure offers the advantage of being quicker and more predictable, while an “at-home” kit may brighten your smile by several shades, but requires more time. Both are safe, effective and reasonable!
There’s no doubt you’ll be smiling all day long on your big day – it’s one of the happiest days of your life after all! So we’ve put together some top tips to make the most of that beautiful wedding day smile.
This all can be done also by means of---
Bonding is a technique similar to veneers. Instead of using a porcelain facing, a tooth-colored filling material (composite resin) is chemically and mechanically bonded to the tooth giving the appearance of straight teeth.
Bonding enables us to: - Close spaces between your teeth - Lengthen small or misshapen teeth - Whiten stained or darkened teeth - A single tooth can be shaped and colored, or your entire smile can be changed!
When teeth are chipped or beginning to wear, bonding can protect them from damage and restore their original look. Bonding your teeth with resin is a one-appointment procedure:
First, teeth are roughened and a conditioning gel is applied. Then a tooth-colored material called resin is placed on the teeth, and is sculpted to the desired shape. A harmless high-intensity light hardens the resin, bonding it to the teeth.
Snap-On Smile’s unique, proprietary formula of hi-tech dental resin makes it very thin yet extremely strong. It fits right over your own teeth to give you a beautiful, natural looking smile—even if you have stains, chips, gaps or missing teeth.
Snap-On Smile is a patented, easy and painless way to obtain a beautiful smile. It was invented by a dentist who realized that not everyone can afford thousands of dollars to get a Hollywood smile make-over. After years of extensive research and development, your dentist can now provide you with a Snap-On Smile that is thin and strong with the look of natural teeth. You can eat and drink with your Snap-On Smile. It’s easy to care for and can be a temporary or permanent cosmetic solution. It’s available for upper and lower teeth.
Dental implants are an effective and excellent long-term option to replace missing teeth. They are artificial ‘roots’ (post), usually made of titanium, placed into the upper or lower jaw bone that act like an anchor for the replacement teeth. They can be used to support various dental prostheses like crowns, bridges or dentures. They are an excellent solution for tooth lost due to trauma – patient not only gets a fixed tooth but also there is no need to mutilate the adjacent teeth in any way. The tooth is absolutely life-like and feels natural. Patients who are not happy with the fit of their dentures can opt for implants to anchor their dentures. In a patient with traditional complete dentures the bone resorbs over a period of time and causes the dentures to become loose. In case of implants the denture or artificial tooth/teeth are firmly anchored.
Anybody can get one or any number of teeth replaced with implants provided he/she does not have any major medical illnesses, uncontrolled blood sugar, or has not recently had radiation therapy. It is advisable not to place dental implants till the growth and maturation of a person is over i.e. till the age of 18 years for girls and till 19 to 20 years for boys.
Conditions like high blood pressure, diabetes, cholesterol, etc. should be under control before the implant procedure. It is very important to refrain from smoking for a reasonably long period of time – 3 to 4 weeks before and at least two months after the placement of the implants. The possibility of acceptance of implants in smokers reduces substantially which means there is a possibility of a failure. Gutka or supari chewing exert undue stress and pressure on the recently placed implant causing a failure in the procedure.
Once your dentist is assured that your jaw bone is healthy to receive an implant, the gum tissue is opened and a channel is created deep into the bone to place the implant with a special drill. The implant is then placed in the channel and the gum is sutured or stitched back..
The whole procedure is usually done under local anaesthesia. The only pain you experience is the prick of the anaesthesia needle and some amount of pressure.
There may be discomfort for 48 to 72 hours after implant surgery during which time the pain can be controlled by pain killers. There may be a few surgical risks involved with this procedure – excessive bleeding or swelling, infection, etc.
The first seven to ten days after placement of implant are extremely critical for the process of healing of the implants. This is the phase that is going to determine how the implant is going to integrate with the surrounding bone.
It is difficult to predict how long the implants will last because it is very difficult to predict the environment in which they are going to function. But there are cases where the implants have lasted for 14 to 15 years. If maintained well, regularly visit doctor and if your implant survives the first year, then they will last at least 10 to 15 years. And if there is good quality bone around the implant for five years, be sure they are going to last for the rest of your life.
Dental implants are replacement tooth roots. Implants provide a strong foundation for fixed (permanent) or removable replacement teeth that are made to match your natural teeth.
There are many advantages to dental implants, including:
Dental implants require the same care as real teeth, including brushing, flossing, and regular dental check-ups.
Many people have crowded or crooked teeth. Orthodontic treatment will straighten the teeth or move them into a better position. This can not only improve their appearance but also the way the teeth bite together, while also making them easier to clean.
In some patients the upper front teeth can stick out and look unsightly. These ‘prominent’ teeth are more likely to be damaged, but orthodontic treatment can move them back into line. In others, the way the upper and lower jaws meet can cause teeth to look unsightly and lead to an incorrect bite. Orthodontic treatment may be able to correct both

When the teeth don’t meet correctly, this can put strain on the muscles of the jaw, causing jaw and joint problems and in some cases headaches. Orthodontic treatment can help you to bite more evenly and reduce the strain.
Clear Braces treatment is a great option for adults or teens who want to straighten their teeth but don’t want to wear traditional braces. These “adult braces” consist of strong plastic trays that are fabricated especially for you. They are indeed invisible. It’s exciting to be able to get your teeth straightened without anyone seeing that you are wearing “braces”! This adult orthodontics option appeals to many adults and older teens.

Metal brackets, typically the most affordable braces option, are very strong and can be used to correct most types of orthodontic bite problems. At first they may irritate your cheeks or gums, but after a few weeks, when your cheeks get “toughened up” they are not a problem anymore. Most traditional metal braces require an elastic o-shaped rubber band, called a ligature to hold the arch wire onto the bracket. Sometimes Fry Orthodontic Specialists uses metal tie wires (little wires which are twisted around the bracket) in place of elastic ligatures.

Ceramic braces are made of composite materials. Ceramic braces are very strong and generally do not stain. Three popular brands are Clarity and Transcend, made by 3M Unitek; and Mystique, made by GAC. Adults and teens like to choose ceramic braces because they “blend in” with the teeth and are less noticeable than metal. In a similar way to Invisalign, these are a great treatment option for those with careers or hobbies in which the smile is prominently shown, or simply for those wishing to have a less noticeable treatment option while improving the look of their smile.

Lingual braces are the same as traditional metal braces, except that the brackets and wires are placed on the inside of teeth.
The Damon system is an orthodontic treatment that uses “self-ligating” braces. This means that the brackets themselves hold the wire in place without the need for elastics or metal ties. Most patients dread the days when their orthodontists tighten their braces. Because the Damon system is a tieless technology, there is more freedom of movement and the need for tightening is eliminated.
Prosthodontics is the area of dentistry pertaining to the diagnosis, treatment planning, rehabilitation, and maintenance of the oral function, esthetics, and health of patients with clinical conditions associated with missing teeth, deficient teeth, and/or compromised maxillo-facial tissues using biocompatible substitutes.
Prosthodontics involves a number of disciplines including:
Damage to the teeth can occur during the development of teeth or caused by caries, failing restorations, trauma, teeth grinding, exposure of teeth to acid (diet or disease) or reduction of salivary flow. Prosthodontists provide services such as fillings, veneers and crowns to address each patient’s concerns. The complexity of every dental condition is variable and could range from minor intervention to comprehensive treatment.
If you’re missing teeth – or even one tooth – the answer is “yes, you need prosthodontic care.” Why? Well, if you’re missing a tooth, you need to replace it as soon as possible. An open space is an invitation for surrounding teeth to shift into the opening, which may result in misalignment.
We offer a variety of beautiful, effective prosthodontic care treatments to improve the health, function, and beauty of your smile, including the following options:


Prosthodontists offer their patients a wide range of options to replace missing teeth depending on each patient's needs. Whether a patient is a candidate for complete dentures, a removable partial denture, dental implants, a fixed bridge or combination of treatment alternatives, Prosthodontists are well-educated to provide high-quality care. These specialists have an excellent understanding of dental laboratory procedures, and they work closely with dental technicians to ensure that each custom-made prosthesis is attractive and comfortable for the patient.
When you hear the words oral surgery, you may think of a hospital setting, general anaesthesia, and one or more days in recovery from this type of dental procedure; but you might be surprised to know what is actually considered oral surgery in dentistry. Many procedures done in a general dental office are considered oral surgery and patients that require such procedures are booked for the procedure without the inconvenience of being put on a waiting list for treatment.
Oral and Maxillofacial Surgery is the surgical specialty that includes the diagnosis, surgical and related treatments of a wide spectrum of diseases, injuries, defects and aesthetic aspects of the mouth, teeth, jaws, face, head and neck. It is an internationally recognized surgical specialty.
Removing diseased and impacted teeth and administering anesthesia. An oral surgeon can remove impacted and damaged teeth and provide in-office anesthesia services, including intravenous (IV) sedation and general anesthesia.
Placing dental implants. In collaboration with a cosmetic or restorative dentist who designs your new smile or restorations, your oral surgeon can help with the planning and subsequent placement of your tooth implants. Oral surgeons can reconstruct bone in areas requiring it for implant placement and, when necessary or desired, modify gum tissue around the implants to produce a more natural and attractive appearance.
Treating facial trauma. Oral surgeons can repair minor-to-complex facial skin lacerations, set fractured jaw and facial bones, reconnect severed nerves and treat other facial injuries involving the oral tissues, jaws, cheek and nasal bones, eye sockets, and the forehead.
Evaluating pathologic conditions. Oral surgeons treat patients with benign cysts and tumors of the mouth and face, as well as people with malignant oral, head and neck cancer, and severe infections of the oral cavity, salivary glands, jaws and neck.
Alleviating facial pain. An oral surgeon can diagnose and treat facial pain disorders, including those caused by temporomandibular joint (TMJ) problems. Your oral surgeon can order imaging studies of the joints and make appropriate referrals to other dental and medical specialists, or a physical therapist. When non-surgical treatment is insufficient or there is definite joint damage, your oral surgeon may suggest surgery.
Performing reconstructive and cosmetic surgery. Oral surgeons can correct jaw, facial bone and facial soft tissue problems that result from trauma or the removal of cysts and tumors. Such corrective surgeries restore form and function to the maxillofacial area and often involve using skin, bone, nerves and different tissues from other parts of the body to reconstruct the jaws and face.
Performing corrective jaw (orthognathic) surgery. Oral surgeons correct minor and major skeletal and dental jaw irregularities to improve chewing, speaking and breathing. Usually in collaboration with an orthodontist (a dental specialist who treats improper bites or malocclusions), an oral surgeon surgically reconstructs and realigns the upper and lower jaws into proper dental and facial relationships in order to improve biting function and facial appearance. Oral surgeons also surgically correct birth (congenital) defects of the face and skull, such as cleft lip and cleft palate. Your dentist, orthodontist and oral surgeon all must collaborate to determine whether orthognathic surgery is right for you or your child. However, it is the oral surgeon who decides which procedure is appropriate. As part of the dental team, the oral surgeon often provides surgical consultation and educational and emotional support for the family over the course of long-term treatment.
Providing surgical treatment for obstructive sleep apnea (OSA). If your dentist suspects that you have a sleep disorder, you will likely be referred to a sleep clinic for a polysomnography, an overnight clinic test that monitors your sleep patterns. Your dentist then will help select the best treatment for you based on whether your OSA is mild, moderate or severe. If non-surgical treatments such as behavior modification or oral appliances do not work, your dentist may refer you to an oral surgeon for a surgical procedure.
Surgical procedures to correct sleep apnea include:
Tooth extraction or dental extraction is the removal of tooth from the mouth. This can also be the basis for future cosmetic dental treatments.
Extractions can be simple or surgically done. Simple extractions are usually performed when the tooth is visible, already loose and only require dental forceps to lift it after it has been rocked back and forth. On the other hand, surgical extraction involves the removal of teeth that cannot be easily accessed because they have not fully erupted or they have broken under the gums. This requires an incision and frequently, the tooth to be extracted are split into multiple pieces to be able to easily remove it.
The following conditions may require tooth extraction procedure:
When your dentist decides that a tooth has to be removed, he may either do it on your regular check up or schedule this procedure. He may then recommend cosmetic dental options thereafter. As for pain control, you will also be given the choice of oral sedation or inhalation sedation. But you need not worry about the pain, because we'll take care of it.
Wisdom teeth are the third and final set of molars found at the very back of the mouth. Most people get them during their late teens or early twenties. They are a valuable asset when they grow healthy and properly positioned but they may require removal when they get misaligned or impacted.
When misaligned, wisdom teeth can grow inwards, sideways and at times position themselves horizontally. This eventually crowds and damages the adjacent teeth, the jaw and to some extent, the nerves. Those that grow leaning towards other molars may make these teeth vulnerable to decay by harboring food particles and dental plaque. Impacted teeth are those that remain partially or completely entrapped within the soft tissues or within the jawbones. Wisdom tooth that only partially erupts through the gums leaves an opening for bacteria to enter and multiply and cause infections.

Let your dentist examine the positioning of your wisdom teeth. An x-ray can evaluate the alignment of your teeth. Your dentist or oral surgeon may even advise extractions even before they completely erupt. This can help avoid a more complicated and painful extraction in the future. As a rule, wisdom teeth are removed at the earliest possible time, usually in the late teens, when the root of the teeth have not completely formed and the bones around the teeth are less dense.
Gum reshaping, also known as "crown-lengthening" and more commonly referred to as a gum lift, has historically been used to treat gum disease. It is only within recent years that dentists have used this procedure for aesthetic purposes. This treatment can lengthen the appearance of your teeth by reshaping your gums.
The gum lift is a cosmetic dental procedure that raises and sculpts the gum line. This procedure involves reshaping the tissue and/or underlying bones to create the appearance of longer or symmetrical teeth, thereby making the smile more aesthetically pleasing. This procedure is typically done to reduce excessively gummy smiles or to balance out an asymetrical gum line.
Cosmetic surgery of the gums will help patients achieve an attractive smile whose smiles show a bit more gum than teeth. The procedure removes extra gum tissue using a laser to expose more tooth surface.
Endodontic treatment is commonly referred to as a “root canal.” The root canal is actually the space within the tooth which contains the soft tissue, known as the pulp, which is composed of nerves, blood vessels, and fibrous tissue. Slide 1 The pulp tissue is necessary for the tooth’s development and eruption, but once the tooth is mature, the tooth can survive without the pulp.
A root canal t/t is a dental treatment done under local anesthesia to remove a damaged nerve while saving the tooth. The procedure is done under a sheet of latex called the "rubber dam" (we've got non-latex ones too) placed around the tooth to isolate it, hence keeping it clean and dry during treatment. The treatment consists of three or four basic steps, but the number of visits will depend on your particular case. Some treatments take 2 visits but many are just a single visit. Occasionally 3 appointments are needed. It all depends on the degree of infection/inflammation and degree of treatment difficulty.
Endodontic treatment is necessary when the pulp becomes inflamed or infected. There can be many causes of disease in the pulp such as deep decay, trauma to the tooth, repeated dental procedures on a tooth, or a crack or fracture of a tooth. If pulp inflammation or infection is not treated, it will cause pain and formation of an abscess.
The most common signs of pulp disease are spontaneous pain, pain to biting pressure, and prolonged sensitivity to hot or cold. There may also be swelling of the gum tissue or jawbone and tenderness of the gums. Sometimes, especially with traumatic injuries, the tooth may be discolored. In many cases, there is no pain and your dentist will identify the problem through diagnostic content_containering or routine x-ray.

Oral pain such as toothaches or cracked / fractured teeth can often be difficult to pinpoint. Because of the vast network of nerves in the mouth, the pain of a damaged or diseased tooth often is felt in another tooth and/or in the head, neck, or ear. An endodontist is a specialist in diagnosing and treating this type of pain.
With all the new technology and the evolution of finer dental materials, your tooth should NOT discolor after endodontic treatment. Nevertheless, especially with OLD root canal techniques, materials and cements, a tooth may appear discolored. For more information on this subject, read below.
A single dark tooth possibly indicates that the tooth might need a root canal because it has a dead nerve giving the tooth a darker gray/brownish hue. Discoloration might also be present in a tooth that had had a root canal treatment done many years ago, using older techniques, material and cements. The patient should see an endodontist for a consultation to determine if the tooth can undergo a procedure called “non-vital bleaching” to restore the color to a more natural color. This procedure requires the endodontist to re-enter the old root canal to activate strong chemicals "inside" the tooth to whiten it. This is an "in-office" visit, not to be confused with over the counter dental bleaching, which is whitening from the "outside." Tooth discoloration can also be a sign of nerve damage or death, in which case, doing a root canal and non-vital bleaching is all that may be needed to restore the tooth.

A root canal procedure is performed when the nerve of the tooth becomes infected or the pulp becomes damaged . during a root canal procedure the nerve and the pulp are removed , and the inside of the tooth is cleaned and sealed permanently to avoid infections.
Those who have lost all of their teeth – or are soon to have their last, failing teeth removed – have several options for tooth replacement. One of the most advanced and reliable techniques is to permanently attach lifelike prosthetic (new replacement) teeth to dental implants that are anchored in the jawbone.
Implant-supported teeth look and function just like real teeth and are maintained with the same oral hygiene practices, such as brushing and flossing. They provide important health benefits (described in this article). And while dental implants are relatively expensive, a newer procedure that also provides functional teeth on the same day implant surgery is performed has brought the cost down and put this beneficial technology within the reach of many.
Implant-supported teeth allow normal function of the whole stomatognathic system (“stomato”- mouth; “gnathic”-jaws) including the nerves, muscles and jaw joints. By permanently replacing missing teeth – and lost gum tissues – implant-supported of the facial structures (cheeks and lips), thereby creating a more youthful appearance as well as the ability to laughing, kissing, speaking confidently and smiling with joy.
Plenty of conditions can be treated successfully with laser dentistry, some of these being quite simple, while there are other more complicated cases, where surgeries are also done along with laser therapies. In cases of tooth decay, the decayed portions can be removed and the area can be prepped for filling. In many cases, laser beams are used for curing or hardening the filled up chemical substances.
One of the commonest uses of laser dentistry is the problem of gum diseases. In most problems of periodontics or gum diseases, laser beams can be focused to reshape the gums by either cutting the excessive tissues or during root canal treatments. Cleaning processes of gums is also done by the method of laser beams.
Biopsy or lesion removal in dental treatment is also possible with the laser therapy. By such a means, a small portion of the tissue can be removed, which is known as biopsy. This tissue is then examined microscopically for cancer or other afflictions. Canker sores are relieved from the pain by such methods also.
Teeth whitening process is one of the commonest uses of laser dentistry . In dental clinics, this process can be easily utilised for removing stains and also for laser treatments of the whitening gels applied on the teeth. When the peroxide bleaching solutions are applied to the teeth and the laser beam is focussed, it helps in laser teeth whitening. There is activation of this gel or solution and the whitening process is quickened.
Work of laser beams in laser dentistry treatment is done by the means of the light energy. This beam is used for cutting tissues during dental surgeries. This light energy can also be utilised to vaporise the tissues. In the processes of curing, light energy helps in strengthening the bonds inside the chemical used in filling. Tooth bleaching agents are activated by these lights from the beam, when used for laser teeth whitening.
Compared to traditional cutting instruments and filling materials, laser dentistry is supposed to provide a number of benefits. This is because of the decrease in the pain during surgical and dental procedures. Hence, anaesthesia need is decreased during such procedures. Relief from the unnecessary pain of dental drills is possible when laser dentistry treatment is being provided to the patients in our clinics . During manipulations of the soft tissues, laser beams helps in minimising pain, bleeding and soft tissue damage. Additionally laser teeth whitening process and other procedures using laser technology helps in preserving healthy tooth to a greater extent than conservative instruments in dentistry.
Without any adverse effects, there cannot be any kind of treatment procedures in medical or dental science. Even though laser treatments are having their share of benefits, a few problems can also be encountered. One cannot use the laser beams when there are fillings already present in the tooth. In many common procedures like dental fillings, large cavity repairs, crowns, or in old fillings, laser treatments are not effective. Rather, they can be harmful in removing or breaking these kinds of treatments already performed. Some of the mechanical works like contouring, fine adjustments of the bite, shaping the fillings, polishing and few other procedures cannot be done by laser beams. So, these points are kept in consideration, when the laser dentistry is being provided to the patients. Therefore, it is important that the laser therapies are done in selective manner, to bring success to these techniques.
A number of procedures can be performed using laser dentistry treatment. Since there is consensus to have periodontal treatments with the least invasive methods, non surgical techniques require the use of laser dentistry . Dentists in our clinics are adept in use of laser beams for many procedures. Precision is a necessity in such procedures. Carrying out procedures like laser teeth whitening and others require laser beams, but these can get costlier as the machines used for laser beams are on the higher side. But, the results are impressive enough and many people are queuing up for appointments of laser dentistry treatment for such results. Some people go for such procedures because they are covered by insurance plans, while many others are anxious about surgical procedures and want painless treatments by laser dentistry .
One of the easiest ways to change how you feel and how you look is to upgrade your smile! Our cosmetic dentistry services fit a wide range of needs and lifestyles.
Smile designing is truly a work of art.the term smile desig applies to the enhancement of a smile using a combination of methods. The eyes,lips, gums,and face of the indivitual are considered when a smile is designed.
Excellence in aesthetics is the corner stone of dentafix dental clinic. A sparkling confident smile gives a wonderful boost to your social and professional life.
Bonding is used to correct minor flaws in the smile including chipped teeth, minor gaps between teeth etc. A tooth colored composite material is used to obtain the desired effect.
Our state-of-the-art in office power bleaching system will make your teeth white in less than 1 hour. Another option is our home bleaching system which you take home with you for results in two weeks . You can also consider a combination programe of both systems for otimal,long term results.
Bleaching is the simplest way to brighten your smile. Your teeth can become 5-6 shades lighter. Depending on your life styles , you may needs to bleach periodically.
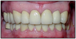
Your smile is very important. Often the difference between a good smile and a great smile is the whiteness of the teeth. Typical lifestyle choices as well as the aging process stain and darken your teeth. Things you do on a regular basis such as drinking coffee, tea, cola and red wine or smoking can contribute to staining your teeth. New whitening agents can remove these stains without harming your teeth.
When you meet people for the first time, it’s your smile that they will remember. A whiter, brighter smile is beautiful and can help make a better impression while making you feel better about yourself. Whitening your teeth is one of the easiest things that can be done to brighten up your smile and improve your appearance. While you can get over-the-counter whitening kits, they are rarely as effective as professional whitening procedures. Because over-the-counter trays are not custom fitted by a professional and the whitening agent may leak out and irritate your gums, the kits do not work either as quickly or effectively to whiten your teeth.
At Medline Medical Center, we offer several options available if you’re interested in whitening your teeth to their brightest and whitest natural state:
Will Tooth Whitening Work For You?
Even with today’s advanced whitening techniques, everyone’s teeth will not whiten with the same results. Yellow-, brown- or orange-toned stains will generally bleach out quite well, whereas grayed teeth, or teeth stained by tetracycline use, may not bleach satisfactorily. Your situation will be carefully evaluated, and you will be advised accordingly. If tooth bleaching isn’t for you, don’t give up on having whiter, brighter teeth! Porcelain veneers or dental bonding could be the perfect solution for you.
Lumibrite Take Home Whitening
Lumibrite Take Home whitening is a popular choice for whitening your teeth if you are not as concerned with seeing immediate, same-day, results and are on a more limited budget. This procedure requires a dental visit where we will fit you with a customized whitening tray. You will also receive a whitening gel that is most suited for you as well as thorough instructions for getting the best results from your at-home whitening system. In typical treatments, you will apply the gel to your customized trays and wear them 3 mins a day for two ( 2) weeks to see great results. Some patients with tobacco, coffee, tea or other stains may take longer to whiten.
Many patients also consider our Chairside Lumibrite Whitening System either in combination with the Lumibrite Take Home Whitening System or as a means to achieve results faster and more effectively. When you call to make an appointment, please ask about our Chairside Lumibrite Whitening System specials!
Veneers can modify the shape ,color and contour of the tooth. Veneers can be direct or indirect.
A veneer is a thin layer of restorative material placed over a tooth surface, either to improve the aesthetics of a tooth, or to protect a damaged tooth surface.
Laminate veneers, are extremely versatile and can be used to align crowded or protruding teeth, lighten tooth colour, close gaps and can also be used as an alternative for orthodontic treatment.
Because the veneer is so thin and contains no metal they have a translucent quality which means that they give a natural looking tooth, this natural look is also true under flourescent lighting and in flash photography.
Laminate veneers are a rapid, aesthetic, and safe way to correct unattractive front teeth. Porcelain laminate veneers correct heavy permanent stains, teeth that are crooked, disproportionate, small (with spaces), and structurally damaged. Laminate veneers are shells of ceramic material that can be chemically bonded to tooth structure. They are mostly used Cosmetic Dentistry Procedures or also sometimes called as "Hollywood Smile".
Black and brown pigments are present on the gums. Some have them in deeper concentration, giving the gums a darker appearance. Such pigments are removed to produce natural pink and aesthetically pleasing gum tissue.
Minor alterations in the size and shape of the teeth are brought to enhance the existing smile.
Teeth jewellery is a brilliant way to add sparkles to your smile and stand out in the crowd. Skyce(teeth jewellery) is certified in the e.u. and is fixed on the outer surface of upper anterior teeth. The procedure is painless and non invasive with no drilling involved.
Dental jewelry is one of the latest means of beautifying your teeth and smile. It gives you a smile that will dazzle others. These are basically gems which are bonded to teeth. Crystal components applied to the tooth in minutes without drilling or pain that will not harm the tooth and can last for up to one year.
Dental tattoos are custom designed.
The goal of cosmetic dentistry is to give you a fabulous smile! This is done by analyzing every aspect of your smile, then correcting any problems.
Terrific smiles have several things in common
What does Smile Makeover mean?
A smile makeover refers to any combination of cosmetic dental procedures that enhances the beauty and appearance of the smile, correcting almost any problem:
The result? A smile that is straight, white and even.
Smile makeovers are typically created with the use of porcelain veneers, porcelain crowns and/or porcelain onlays. Veneers are thin shells of fired porcelain that are placed on the front surfaces of the teeth. Offering a natural look and feel, veneers allow the cosmetic dentist to dramatically change the length, width, color and shape of a tooth. Restoring teeth to their natural beauty, veneers also resist staining, creating an enduring white, bright straight smile. Porcelain crowns and onlays offer the same advantages.
How It’s Done?
Once we determine the “style” of the desired smile, we take an impression of the patient’s existing teeth. That impression is sent to a lab with precise instructions of what the smile should look like. The lab creates a “wax up” a wax model of how the enhanced smile or repaired teeth will look. We then with the patient review the wax up and either make changes or give the lab approval to proceed. From the wax up, the lab creates the patient’s new “teeth”, typically a combination of veneers, crowns, inlays and onlays made of porcelain.
Once we determine the “style” of the desired smile, we take an impression of the patient’s existing teeth. That impression is sent to a lab with precise instructions of what the smile should look like. The lab creates a “wax up” a wax model of how the enhanced smile or repaired teeth will look. We then with the patient review the wax up and either make changes or give the lab approval to proceed. From the wax up, the lab creates the patient’s new “teeth”, typically a combination of veneers, crowns, inlays and onlays made of porcelain.
Once the wax up is approved, we prepare the patient’s teeth, takes a new impression, and fit him or her with temporaries (a temporary version of the “new smile”.) Three to four weeks later when the porcelain restorations are ready, the temporaries are removed and the porcelain is bonded to the teeth.
Technology
While each dentist employs a different set of technologies to help him, here are some common ones that you may encounter:
IntraOral Camera :this small, pen-like camera projects a magnified image of your teeth on a monitor to help the doctor diagnose the treatment needed for each tooth.
Wax Up Model:This technology allows the doctor to show you an actual image of your new smile before you start the procedure
Soft Tissue laser : This laser may be used to help recontour your gum line or surgically eliminate the frenum, a muscle that causes the common space between front teeth.
Recovery/Post Op Expectations
Patients can expect recovery to be about the same as any dental procedure. The gums may be tender for a couple days after the veneers are bonded to the teeth. Over the counter anti-inflammatories, such as ibuprofen, can ease any discomfort. After a week or two, the veneers may need to be adjusted to provide a more comfortable bite or fit.
Complications
There are no known complications associated with a smile makeover.
Am I a Candidate?
Cost
The cost of a smile makeover will depend on the actual treatment plan. The most common version of a smile makeover is simply 10 anterior, or upper front, veneers. The cost per veneer can range from 1800.00 – 3800.00 DHS depending on the lab fees. We offer flexible payment plans to make your new smile affordable.
We offer a full range of routine dental treatments to help maintain good oral health care and hygiene.
Sometimes, even after a thorough research, you might still be confused regarding the state of your smile, whether you actually need a smile design consultation.
Here is a simple questionnaire to make it easier for you to decide whether you actually need a smile enhancement procedure. Stand in front of the mirror, observe your smile and answer these simple questions.
Flossing removes plaque and bacteria that you cannot reach with your toothbrush. If you don’t floss, you are missing more than one-third of your tooth surface.
Plaque is the main cause of gum disease. It is an invisible bacterial film that develops on your teeth every day.
Within 24 to 36 hours, plaque hardens into tartar (also called calculus), which can only be removed by professional cleaning. Floss at least once a day, and plaque never gets the chance to harden into tartar. Getting into the habit of daily flossing is easier when you floss while doing something else like watching TV or listening to music, for example.
Regular, thorough brushing is a very important step in preventing tooth decay and gum disease. Brushing removes the bacteria that promote tooth decay and the plaque that can cause gum disease.
Ideally, you should brush after every meal, because the bacterial attack on teeth begins minutes after eating. At the very least, brush once a day and always before you go to bed. Brushing your teeth isn’t complicated, but there is a right and a wrong way.
Have you ever seen a hockey player on the ice without his mouthguard? Mouthguards have become a standard in many sports. In addition to football, the NCAA (National Collegiate Athletic Association) currently requires mouthguards in ice hockey, field hockey, and lacrosse. The ADA (American Dental Association) shows that mouthguards are extremely effective in preventing facial injury in contact and noncontact sports.
The ADA recommends mouthguards be used in 29 sports: acrobatics, basketball, bicycling, boxing, equestrian, football, gymnastics, handball, ice hockey, inline skating, lacrosse, martial arts, racquetball, rugby football, shot putting, skateboarding, skiing, skydiving, soccer, softball, squash, surfing, volleyball, water polo, weightlifting and wrestling.
Chances are you’ve worked hard all year and can’t wait for that well-deserved break. Don’t let a dental disaster ruin your vacation! Emergencies such as lost fillings, broken teeth, or ill-fitting dentures are sure to spoil any adventure.
Plan a quick dental checkup before leaving home, especially if your travels are taking you to a remote destination. While on holidays, avoid eating hard or sticky foods, and play safely. You can also put together a simple and inexpensive dental kit to take along on your trip. Dental cement compounds are available to temporarily replace a filling, and orthodontic wax protects from sharp edges, particularly on braces. Although you can create a temporary filling, don’t take any chances with a broken or infected tooth – see a dentist as quickly as possible.
A pair of tweezers, a small mirror, sterile cotton, and a denture repair kit with adhesive could come in handy. Most of all, never forget your toothbrush, fluoride toothpaste and plenty of floss – they may not be available where you’re going. Cruises almost always have a doctor and dentist on board, and your hotel concierge or the local dental society are good dental referral sources. Be sure to pack your dental insurance card and our office phone number too! Bon voyage!
Many people ask questions about the possibility of infection in the dental office. Because of the number of contagious diseases in the news today, that’s an understandable worry. Be assured that your health is always our primary concern.
The guidelines we use to minimize the transmission of infection are called Universal Precautions, and we observe them for every one of our patients. What do we do to protect you against infection? Our main priorities are cleanliness, disinfection, sterilization of instruments, and wearing protective clothing. Our entire dental team has been vaccinated and is required to wear masks, eye protection and gloves when performing dental procedures. These barriers are used to prevent airborne infections from being transmitted to you, or from you. Any instruments that are not disposable are sterilized according to approved techniques. Suction tips, needles, plastic wrap, paper towels, aluminum foil and protective gloves, are disposed of after each procedure, also contributing to effective infection control.
No one should avoid visiting the dental office for fear of infection. If you have questions or concerns, please ask us.
Parents should always listen closely to their kids – not just to what they say, but how they say it. That’s important to all of us, because as vocal patterns develop, early childhood speech problems can emerge rapidly. We are often the first health care professionals to hear about a speech problem because parents generally associate speech with the oral cavity Lisping is the most common speech impediment and is relatively easy to correct. This inability to produce the S, Z, SH and J sounds can be caused by the tongue, rather than the front teeth, cutting off an S sound. Prolonged thumb-sucking or finger sucking can create an open bite resulting in a lisp. Long-term thumbsucking might also leave large gaps between teeth and can be the basis for the condition called tongue thrusting. This is actually reverse swallowing and will eventually lead to improper tooth alignment, possibly affecting speech. Lisping can also be the result of a narrow palate which does not allow enough room for the tongue to pronounce some sounds. Cleft palate, a condition present at birth, also dramatically affects a child’s speech and usually requires oral surgery. In some cases we provide a plastic plate to cover the opening in the roof of the mouth, allowing the patient to develop normal speech patterns. We often work with a team that includes a speech pathologist, orthodontist and an oral surgeon to detect, treat correct speech problems. Bringing your children in for regular dental checkups is your primary defense against ongoing speech impediments.
Bad breath is a common problem that many people suffer. Though it is usually attributed to poor dental hygiene there are other problems that may cause it. Even brushing your teeth two or three times a day will not necessarily alleviate the odor that ruminates from your mouth. The food we eat and the habits we partake in can play a very big part in bad breath. For instance onion, garlic, tobacco and alcohol all have a negative effect on the smell of our breath. As food is digested certain substances from the food stuff are released into our bloodstream which in turn travels to the lungs. This means that by eating onions or garlic we are breathing them in and out all day.